Transforming Smiles with Veneers in Cheshire

Transforming Smiles with Veneers in Cheshire

In recent years, cosmetic dentistry has become increasingly popular across the UK, with one of the most sought-after treatments being veneers. In Ches

Alastair Burton
Alastair Burton
7 min read

In recent years, cosmetic dentistry has become increasingly popular across the UK, with one of the most sought-after treatments being veneers. In Cheshire, and particularly in Wilmslow, more and more people are turning to this simple yet highly effective dental solution to enhance their smiles. Whether you're looking to cover imperfections, close small gaps, or achieve a brighter, more uniform look, veneers offer a long-lasting and natural-looking result.

What Are Veneers?

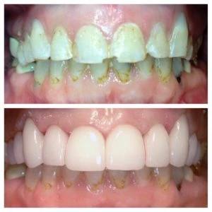
Veneers are thin shells, usually made from porcelain or composite resin, that are bonded to the front surfaces of the teeth. They are custom-made for each individual, ensuring a precise fit and a seamless blend with your natural teeth. Unlike other dental procedures, veneers can deliver dramatic results with minimal intervention, making them ideal for those who want to transform their smile quickly and effectively.

Porcelain veneers, in particular, are known for their durability and resistance to staining, closely mimicking the appearance of natural enamel. Composite veneers, while slightly less robust, still offer excellent aesthetic results and can often be applied in a single appointment.

Why Choose Veneers?

The appeal of veneers lies in their versatility. Here are some of the most common reasons why people in Wilmslow choose this treatment:

  • Discolouration: Stubborn stains or tooth discolouration that do not respond well to whitening treatments can be effectively concealed with veneers.
  • Minor Misalignment: Veneers can create the appearance of straighter teeth without the need for braces or aligners.
  • Chipped or Worn Teeth: Covering up chips or worn edges can restore a more youthful and healthy appearance.
  • Gaps Between Teeth: Small gaps can be closed without orthodontics, improving the uniformity of the smile.
  • Uneven Shape or Size: Teeth that appear too small, misshapen, or uneven can be enhanced with carefully designed veneers.

The Process of Getting Veneers in Wilmslow

The process of receiving veneers is straightforward, though it does require careful planning and expert attention. Here’s a general overview of what patients in Wilmslow can expect when opting for veneers:

Initial Consultation

The journey starts with a consultation, during which your dentist will assess your teeth, discuss your aesthetic goals, and determine if veneers are the right solution. This is also an opportunity to explore different types of materials and review examples of past work.

Treatment Planning

Once veneers are deemed suitable, impressions of your teeth will be taken to design a customised set of veneers that suit your facial features and personal style. Colour, shape, and size are all carefully selected to match the rest of your teeth.

Tooth Preparation

In most cases, a small amount of enamel (usually less than a millimetre) is removed from the front of the teeth. This ensures that the veneers sit flush and look natural. Temporary veneers may be placed while your final set is being crafted.

Fitting the Veneers

Once ready, the veneers are checked for fit and appearance before being permanently bonded to your teeth. The dentist will make any final adjustments to ensure comfort and satisfaction.

Follow-up Care

A follow-up appointment is often recommended to review the results, ensure proper fit, and address any questions.

The Benefits of Veneers for Cheshire Residents

Wilmslow residents seeking a confident, radiant smile can benefit significantly from veneers. Some of the key advantages include:

  • Quick Results: Compared to orthodontic treatments, veneers offer a rapid transformation, with full results often achieved in just two or three visits.
  • Natural Appearance: With the expertise available in Wilmslow, veneers are designed to mimic the look and feel of real teeth, making them virtually undetectable.
  • Long-Lasting Solution: With proper care, porcelain veneers can last 10–15 years or more.
  • Minimal Maintenance: Veneers don’t require special cleaning routines – brushing twice daily and regular dental check-ups are sufficient.
  • Boosted Confidence: A more attractive smile can improve self-esteem, particularly in social and professional settings.

Caring for Veneers

After your veneers have been fitted, taking care of them is essential for longevity. While they are durable, they are not indestructible. Here are some care tips to follow:

  • Maintain Good Oral Hygiene: Continue brushing with a non-abrasive fluoride toothpaste and flossing daily.
  • Avoid Hard Foods: Chewing ice, opening packaging with your teeth, or biting hard objects can damage veneers.
  • Limit Stain-Causing Substances: Though porcelain is stain-resistant, the underlying tooth and bonding material can still become discoloured over time. Avoid excessive intake of coffee, red wine, and tobacco.
  • Regular Dental Visits: Regular check-ups with your dentist in Wilmslow will ensure your veneers remain in excellent condition.

Why Wilmslow is Ideal for Cosmetic Dentistry

Wilmslow, known for its affluence and appreciation of modern aesthetics, is home to a range of reputable dental clinics offering cosmetic services. The demand for treatments such as veneers reflects the town's commitment to wellness, beauty, and professional image. With a focus on patient care and attention to detail, local dentists provide a high standard of service, making it easy for residents to achieve their desired smile transformation.

What sets Wilmslow apart is the personalised approach many dental practices take. From initial consultation to the final reveal, patients often receive tailored advice, digital smile simulations, and comprehensive follow-up care. This level of service helps ensure that the outcome not only looks great but also feels comfortable and natural.

Final Thoughts

Veneers represent a powerful option for individuals seeking to improve their smiles without extensive dental work. For residents of Wilmslow and the surrounding areas of Cheshire, access to skilled cosmetic dentists makes the journey toward a flawless smile smoother and more accessible. Whether you want to address minor imperfections or completely revamp your smile, veneers can offer lasting results with minimal hassle.

Choosing veneers is more than just a cosmetic upgrade – it’s an investment in confidence, appearance, and overall well-being. With the right care and the right dentist, your new smile can make a lasting impression.

More from Alastair Burton

View all →

Similar Reads

Browse topics →

More in Business

Browse all in Business →

Discussion (0 comments)

0 comments

No comments yet. Be the first!