When it comes to your smile and oral health, finding a reliable and experienced dental clinic in Victoria is essential. Whether you're facing a sudden dental emergency, seeking a brighter smile, or needing preventive care, knowing your options makes all the difference. This blog explores the most trusted cosmetic and emergency dental treatments available in Victoria and how Delatite Dental Mansfield Dentist stands out in delivering them.
Best Treatment for Gum Disease in Victoria
Gum disease, or periodontal disease, is a common but serious oral health issue. If left untreated, it can lead to tooth loss, bad breath, and overall health complications. At Delatite Dental Mansfield Dentist, we provide the best treatment for gum disease in Victoria through customized care plans.

Our approach begins with a thorough periodontal evaluation to assess the severity of the condition. From there, we offer non-surgical scaling and root planing, deep cleaning, and ongoing maintenance to control infection and inflammation. For advanced cases, we work closely with specialists to ensure comprehensive treatment.
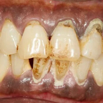
Effective Calculus Treatment Solutions in Victoria
Calculus, also known as tartar, is hardened dental plaque that cannot be removed by regular brushing and flossing. It can lead to gum irritation, cavities, and chronic bad breath.

Our calculus treatment solutions in Victoria are designed to restore oral health and prevent long-term issues. Using advanced ultrasonic tools and gentle scaling techniques, our skilled dental hygienists remove calculus buildup both above and below the gum line. Routine check-ups and cleanings help maintain healthy teeth and gums over time.
Cosmetic Dental Treatment in Victoria
If you're looking to enhance your smile, cosmetic dental treatment in Victoria is readily available at Delatite Dental. We understand that a confident smile can greatly impact your self-esteem, which is why we offer a range of services tailored to your aesthetic goals.

Our cosmetic treatments include:
- Professional teeth whitening
- Dental veneers
- Tooth-colored fillings
- Cosmetic bonding
- Smile makeovers
Each treatment plan is customized to fit your dental condition, facial features, and preferences. We focus on both appearance and long-term oral health, ensuring natural-looking results you’ll love.
Emergency Crown Repair Service Near You
Dental emergencies can happen unexpectedly. If you’ve cracked, broken, or lost a crown, it’s essential to seek immediate care to prevent further damage or infection.

Delatite Dental provides emergency crown repair service near you in Victoria. We understand the urgency of dental trauma and offer same-day or next-available appointments for emergency cases. Our dentists assess the damage and offer quick, effective solutions—whether it's re-cementing a crown, replacing it, or crafting a new one using durable, tooth-colored materials.
Professional Teeth Cleaning Services in Victoria
Maintaining oral hygiene isn’t just about brushing at home. Professional cleanings are essential for removing plaque, tartar, and stains that regular toothbrushes can’t reach.

Our teeth cleaning services in Victoria are thorough, comfortable, and performed by experienced dental hygienists. During each session, we:
- Remove plaque and tartar
- Polish your teeth for a fresh finish
- Offer fluoride treatment if needed
- Provide personalized oral hygiene advice
Routine cleanings not only enhance the appearance of your teeth but also play a vital role in preventing gum disease and tooth decay.
Why Choose Delatite Dental Mansfield Dentist?
At Delatite Dental Mansfield Dentist, we combine professional expertise with compassionate care. Here’s why patients trust us:
- Experienced Team: Our dentists and hygienists are highly trained and committed to delivering top-quality care for all ages.
- Modern Technology: We use advanced dental tools and techniques to provide efficient and accurate treatments.
- Comprehensive Services: From cosmetic enhancements to emergency treatments, we offer a full range of dental services under one roof.
- Patient-Centered Approach: We listen to your concerns, explain every step, and prioritize your comfort throughout your visit.
- Convenient Location: Serving Victoria and nearby communities, our clinic is easily accessible for routine and urgent care.
Choosing Delatite Dental means choosing peace of mind, personalized service, and long-lasting results.
Conclusion
From restoring gum health to handling unexpected dental emergencies, the right treatment makes all the difference. If you're searching for expert care in cosmetic dental treatment, emergency crown repair, gum disease management, teeth cleaning, or calculus removal, Delatite Dental Mansfield Dentist is here to help.
Book your appointment today and take the first step toward a healthier, more confident smile with a dental team you can trust.
Sign in to leave a comment.